Delayed Placement of ZERAMEX® XT Implants

Delayed Placement of ZERAMEX XT Implants by Dr. Gary Adams
Dr. Gary Adams

Dr. Gary Adams is a natural holistic dentist by philosophy. He has been replacing teeth permanently with implants for over 15 years. Many people have lost teeth from decay, root canal failures and TMJ dysfunction – teeth clenching issues. “No one should have to accept tooth loss…my job is to repair and replace teeth but to also prevent future tooth loss by diagnosing and correcting the cause…” How to stop teeth and jaw clenching?

They practice in a clean, metal free, mercury free and fluoride free dental office. They use purified ozone water for all procedures. We have special air systems to filter out toxins including mercury gases, mercury vapors and other harmful gases. Dr Adams is an IAOMT dentist who offers safe mercury amalgam removal technique.

Dr. Adams preselects materials that are metal free, safe and biocompatible. “Every material placed into the mouth has an impact on our system,” says Dr. Adams…”We should select the one with the smallest and safest biological impact possible.”

Maryland Holistic Dentist Location | Burtonsville Maryland Office 2918 Spencerville Road #100 Burtonsville, MD 20866
Phone: 301.421.1996

ZERAMEX® XT Case Report

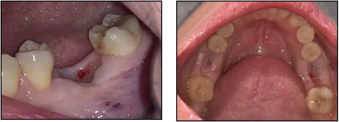
This case documents a delayed placement of 2 ZERAMEX XT 5.5x10mm implants followed by immediate fixture level impressions and placement of healing caps. The patient traveled 2.5 hours to my office 4 weeks prior for removal of #19 and #30 with diagnosis of non-restorable and failed root canals. The teeth were extracted and grafted with platelet rich fibrin.

Patient arrived the day of implant surgery and modified osteotomies were performed in the delayed sites with no elevation of flaps. The implants were placed with ease achieving primary stability of 45Ncm. Fixture level impressions were taken the day of surgery and healing caps placed. The patient returned in 3.5 months for delivery of final crowns.

Delayed Placement of ZERAMEX XT Implants 1
Delayed Placement of ZERAMEX XT Implants 2
Delayed Placement of ZERAMEX XT Implants 3
Delayed Placement of ZERAMEX XT Implants 4
Delayed Placement of ZERAMEX XT Implants 5
Delayed Placement of ZERAMEX XT Implants 6
Delayed Placement of ZERAMEX XT Implants 7
ZERAMEX XT Ceramic Dental Implant System

ZERAMEX® XT
Learn more about this Metal-free ceramic dental implant by CLICKING HERE.

Contact

Want to know more about Zeramex?
Email us at [email protected] with your contact details and we will get in touch with you!

ZERAMEX BROCHURE

Click here to download the Zeramex sales brochure

Share this post

Facebook
LinkedIn
Twitter
WhatsApp
Email